Smile Gallery

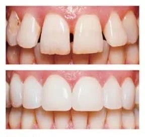
Tooth Whitening

Patient had moderate staining on upper teeth. Pre-treated with whitening trays and patient had one hour in-office whitening. Whiter teeth by 8 shades!

Bonding/White Filling - Resin Restorations

Removal of amalgam/ silver fillings and replacement with resin, tooth colored restorations.

Invisalign, Soft Tissue Graft (plastic gum surgery), tooth whitening and E-max crowns on upper lateral incisors.

Before

After

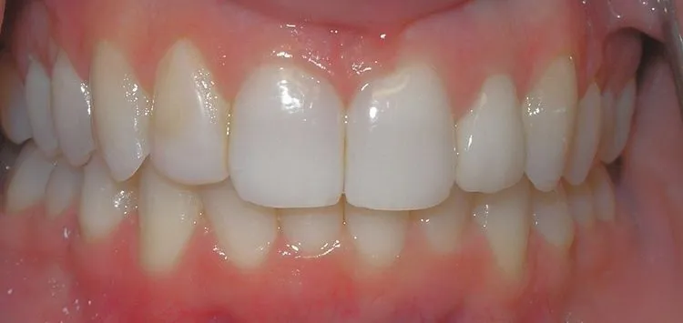
Veneers/Porcelain Crowns

An alternative to close spaces and improve smile. Patient had orthodontic treatment (braces) to even spaces and improve her occlusion (bite). Remaining spaces were closed with E-max veneers on the laterals and central incisors.

CONTACT US

Send Us An Email Today

Our Locations

Find Us on the map

HOURS OF OPERATION

Find Out When We Are Open

Dental Care Institute

Monday:

8:00 am-5:00 pm

Tuesday:

8:00 am-5:00 pm

Wednesday:

8:00 am-5:00 pm

Thursday:

8:00 am-5:00 pm

Friday:

Closed

Saturday:

Closed

Sunday:

Closed